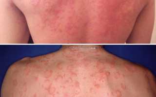
Сыпь сзади на теле (на спине, плечах, шее) – распространенная проблема. Она может быть также хронической. Но чтобы с ней бороться, сначала нужно определить причину, так как их очень много и они требуют разного лечения.
Узнайте больше о причинах, симптомах, зудящей, болезненной сыпи на плечах, спине и задней части шеи, а также способы избавления от этого.
Какой бывает сыпь на спине, плечах и шее?
Как известно, сыпь – симптом, представляющий собой патологическое изменение кожи. Она, зависимо от причин, различается по рисунку, расположению и размеру, форме и может возникать в любом месте на теле. Например, может быть в виде точек или пятен, которые бывают приподнятыми, чешуйчатыми, шелушащимися или заполненными жидкостью, включая гной. Также высыпания могут сопровождаться дополнительными симптомами – быть зудящими или не зудящими, болезненными, горячими на ощупь. Все эти характеристики касаются и сыпи, которая может появляться сзади на туловище.
Причины
Есть множество возможных триггеров (пусковых механизмов) и причин. Сыпь в области спины может указывать на локальную проблему или на общее состояние организма, включая нарушения работы внутренних органов.
Распространенной причиной сыпи на спине, на которую обычно не обращают внимания, является плохая гигиена. Это связано с тем, что спину труднее достать, поэтому ее часто не моют так хорошо, как другие части тела. Но есть целый ряд и более серьезных причин:
1. Акне (угри)
Верхняя часть спины и плечи являются одним из основных мест, где может появиться acne vulgaris – самая распространенная форма угрей. Такое состояние кожи возникает, когда поры волосяного фолликула забиваются, что приводит к образованию прыщей.
Это может начаться как закрытые (белые) или открытые (с черной точечкой) комедоны, а затем перерасти в другие типы поражений кожи, такие как заполненные гноем фурункулы. Угри могут появляться на спине, а затем распространяться на другие части (лицо, шею, грудь, ноги, бедра и т. д.) или наоборот – сразу на лице, а потом на спине. Они обычно болезненны и очень зудящие.
2. Псориаз
Это зудящее заболевание кожи также может появляться на любых участках тела, включая спину и шею. Оно представляет собой аномальный рост клеток кожи, которые не успевают отшелушиваться, что приводит к утолщению кожи и сильной ее сухости.
Симптомы псориаза включают серебристо-белую сыпь с красными выпуклыми краями и шелушение кожи. Точная причина этого состояния не известна, но оно было связано с аутоиммунными нарушениями. Некоторые факторы, которые могут спровоцировать его развитие, включают:
- некоторые лекарства;
- курение сигарет;
- сухой и холодный климат;
- стресс и депрессия;
- тяжелая болезнь;
- потребление много алкоголя.
3. Крапивница
Бугристая, зудящая сыпь темно-красного цвета на вашей спине может быть крапивницей. Это состояние обычно вызывается аллергической реакцией. Хотя есть также неаллергические причины. Они включают резкие перепады температуры, трение, ожоги или даже экстремальные физические нагрузки. У многих людей хроническая крапивница вызвана аутоиммунными нарушениями.
4. Потница
Потница, также известная как тепловая сыпь, может привести к очень зудящей сыпи после того, как тело подверглось воздействию тепла. Это проявляется как покраснение, зуд и покалывание кожи.
Потница может быть вызвана обтягивающей одеждой, приводящей к интенсивному трению и потоотделению. Это часто встречается в таких областях, как подмышки, пах, живот, грудь спина, шея, а также в других местах, где есть одежда. Проблема наиболее часто затрагивает детей и активных людей. Потница может протекать и в тяжелой форме, сопровождаясь лихорадкой и другими серьезными симптомами.
5. Себорейный дерматит
Себорейный дерматит является распространенным заболеванием, которое обычно поражает участки кожи, где выделяется много кожного сала. Считается, что это заболевание ответственно чаще всего за перхоть на голове, но поражения могут распространяться на лицо (особенно бороду, брови, нос) и другие части тела, включая спину. Усугублять состояние могут изменение климатических условий, стресс, депрессия и усталостью. Вероятнее всего, что это вызвано дрожжами Malassezia, живущими на коже и начинающими активное размножение, питаясь кожным салом.
Себорейный дерматит проявляется на спине, особенно в верхней ее части, в виде красной сыпи, иногда может возникнуть желтоватые чешуйки.
6. Контактный дерматит
Это высыпания, возникающие из-за прикосновения аллергена или раздражителя. Примерами продуктов, который могут оказывать подобный эффект, являются мыла, косметики, моющие средства, некоторые растения. Сыпь при этом может быть зудящей или нет, красной, бугристой или даже в виде больших волдырей.
7. Обтягивающая одежда
Сыпь может появиться из-за обтягивающей одежды, которая способна раздражать кожу на спине и плечах. Ношение обтягивающей, особенно синтетической или грубой, одежды также сопровождается чрезмерным потоотделением.
Кроме того, стирка часто происходит с использованием сильных моющих или ароматизирующих средств, что также может быть причиной контактного дерматита для людей с чувствительной кожей.
8. Солнечный ожог
Солнечные лучи – еще один потенциальный фактор, который может вызвать изменение кожи. Особенно это касается пребывания на солнце без одежды, покрывающей плечи и спину. Кожа на шее зачастую чуть менее страдает, чем эти области.
Солнечные ожоги обычно делают кожу красной, темной или покрытой волдырями, также вызывая чувство жжения. Полученная сыпь может быть очень зудящей, но длится относительно недолго и через несколько дней проходит, если избегать повторных ожогов, что очень опасно.
9. Экзема (атопический дерматит)
Атопическая экзема – это кожное заболевание, связанное с необычной реакцией на определенные аллергены. Начинается в детстве и может сохраняться во взрослой жизни, и это является одной из основных причин сыпи у детей. Чаще всего она появляется на локтях и обратной стороне колен, но может поражать и другие участки кожи, включая спину и шею.
Симптомы включают сухую, грубую, зудящую, красную кожу. Царапанье может дополнительно вызывать отслаивание и кровотечение. Причина экземы не очень ясна, но она связана с аллергенами, сенной лихорадкой и астмой в детстве.
10. Инфекции
Существуют различные инфекционные заболевания, которые могут сопровождаться высыпаниями, в том числе на спине, шее и плечах. Они включают:
- Опоясывающий лишай – скопление болезненных пузырьков, заполненных жидкостью, на одной стороне тела, часто в виде полосы. Причиной является реактевация вируса ветряной оспы (ветрянки) у людей, которые ранее эй болели.
- Фурункулы или их скоплений, называемых карбункулами, представляющие собой наполненные гноем шишки (абсцесс). Чаще всего они вызваны стафилококками, реже другими бактериями.
- Импетиго – бактериальная инфекция, поражающая поверхностную кожу. Ее вызывают обычно Золотистый стафилококк или Streptococcus pyogenes. Во втором случае заболевание называется стрептодермией. Симптомы проявляется в виде розоватых больших пятен с четком выраженными неровными краями, которые чаще всего появляются вокруг рта или конечностях, но иногда бывают на спине и шее. Некоторые формы импетиго проявляются в виде пузырей, заполненных жидкостью.
- Целлюлит (заболевание) – гнойное воспаление подкожной жировой ткани, вызванное попаданием в нее бактерий. Обычно поражает ноги, живот или руки, но существует вероятность появления и на спине.
- Чесотка – мелкая очень зудящая сыпь, вызванная микроскопическими клещами, которые делают норы в коже. Чаще возникает на руках, но может появиться где угодно.
- Отрубевидный (разноцветный) лишай – хроническая грибковая инфекция кожи, проявляющаяся в виде скоплений мелких пятне с четкими границами. Часто заболевание поражает спину, плечи, грудь, шею.
- Стригущий лишай (дерматомикоз) – грибковое заболевание рук, ног, головы, хотя может появиться на любой части тела, включая туловище. Приподнятые красные кольца на коже являются самым типичным проявлением, но поражения могут выглядеть и иначе.
- Вторичный сифилис – стадия сифилиса, наступающая примерно через 10 недель после заражения и сопровождающаяся высыпаниями по телу.
11. Генерализованый зуд
Генерализованый зуд – это сильное желание чесать кожу на различных участках тела или даже по всему телу, вызванное обычно внутренними проблемами со здоровьем. Возникающие в результате царапины могут вызывать вторичные изменения кожи, такие как раздражение, лихенизация, сухость, экзематизация и инфекция. Проще говоря, сыпь на спине, шее и плечах может возникать из-за того, что человек их царапал из-за внутреннего заболевания.
Возможные причины генерализованого зуда включают:
- Заболевания крови.
- Гормональные нарушения.
- Онкологические заболевания.
- Болезнь почек
- Заболевания желчного пузыря, печени или желчных протоков.
12. Другие причины
- Нейродермит – это неврологическое заболевание кожи, в результате которого появляются чешуйчатые участки на шее, голове, ступнях, лодыжках, руках.
- Сухость кожи.
- Определенные растения, содержащие такие вещества как урушиол, некоторые кумарины / фурокумарины, например, ядовитый плющ, борщевик.
- Эпиляция, бритье волос на спине.
Сопутствующие симптомы
Высыпания на коже могут сопровождаться различными симптомами от легких до умеренных и тяжелых. Эти симптомы зависят от основных причин. Некоторые причины могут привести к серьезным или опасным для жизни состояниям, например сыпь из-за вторичного сифилиса.
Опять же, сыпь имеет очень много симптомов, которые обычно делают диагностику сложной. Некоторые из возможных симптомов, связанных с ней, включают в себя:
- маленькие пузыри, наполненные жидкостью;
- сухость кожи перед появлением сыпи;
- изменение цвета кожи;
- шелушащаяся, чешуйчатая или покрытая коркой кожа;
- чрезмерное потоотделение (гипергидроз);
- прыщи, волдыри или фурункулы;
- зудящая или опухшая кожа.
Зудящая сыпь сзади на теле
Сюда относятся высыпания, которые вызывают желание их чесать и царапать. Причины зудящих высыпаний на спине, шее и плечах являются многочисленными и варьируются от легкой реакции на какой-то агент до сложных заболеваний. Зудящая сыпь может иметь различные размеры, форму, цвет и рисунок. Наиболее распространенными примерами причин могут служить контактный дерматит, крапивница, потница, себорейный дерматит, псориаз, акне, но есть и множество других
Существуют различные домашние средства, например, холодные компрессы, которые можно применять для снятия зуда. Для избавления от сильного невыносимого зуда могут потребоваться кортикостероидные или другие мази, но для их назначения нужно обратиться к дерматологу.
Сыпь на задней части шеи, плечах и боках живота
Плечи, задняя часть шеи и боковая часть живота являются областями, которые находятся очень близко к спине. Во-первых, сыпь, возникающая в этих местах, может быть вызвана локальным заболеванием или состоянием кожи, т. е. происходящим именно в этих местах. Это может быть закупорка пор кожи, раздражающий дерматит или укусы насекомых. Во-вторых, может указывать и на причины, касающиеся всего организма, например, ветряная оспа или другие инфекции в крови.
Сыпь может как начинаться в этих местах и распространиться на спину, так возникать одновременно на спине, плечах, шее и боках живота.
В качестве альтернативы они могут начинаться сзади, а затем распространяться по этим местам. Есть также генерализованные высыпания, которые могут возникать на спине, плечах, задней части шеи и на стороне живота одновременно. Хорошим примером последнего является генерализованный зуд.
Поэтому рекомендуется быстро реагировать на любой симптомов в любом из этих мест, чтобы избежать его распространения на другие соседние области.
Традиционное лечение
Лечение будет зависеть от ряда факторов. Начиная с общего медицинского состояния пациента, особенно детей. Второй фактор должен основываться на том, вызвана ли сыпь локальной проблемой с кожей или общим состоянием организма.
Также верно, что различные причины будут определять тяжесть результирующей сыпи на спине. В случаях легкой или средней тяжести может быть эффективным следующее лечение:
1. Антигистаминные препараты
Антигистаминные средства обычно используются для снятия сыпи и зуда из-за аллергических реакций. Они доступны в различных формах, включая мази, кремы и пероральные препараты. Большое количество антигистаминных препаратов вызывают сонливость, поэтому лучше использовать перед сном.
2. Противомикробные средства для местного применения
В случаях высыпаний на теле, вызванных инфекцией, антибактериальные и антисептические мази могут быть лучшим вариантом. Вы должны сообщить врачу, если такое лечение не дает эффекта.
3. Мазь с гидрокортизоном
Гидрокортизоновая мазь хорошо подходит для сыпи на спине, вызванной ветряной оспой или инфекций. Она эффективна для успокоения и облегчения симптомов.
В тяжелых случаях можно применять более сильные лекарства, например, пероральные антибиотики. Иногда определенные лекарства от сыпи на задней части туловища также могут привести к большему количеству проблем с кожей, поэтому нужно быть очень осторожным при их выборе и применении.
Домашние средства
Помимо традиционных методов лечения, описанных выше, при легких симптомах народные методы лечения могут также быть очень эффективными.
1. Алоэ вера
Это одно из замечательных растений для лечения многих кожных заболеваний. Оно обладает целебными свойствами, которые делают его эффективным при воспалении, а также помогают уменьшить зуд и отечность. Приготовьте свежую мякоть из листьев алоэ или купите гель в аптеке и втирайте его в кожу спины. Позвольте ему высохнуть, а затем смойте водой.
2. Овсянка
Этот домашний продукт известен своей способностью успокаивать зуд кожи. Он может помочь и при сыпи на спине. Чтобы применить, замочите одну чашку молотой овсянки в ванне и погрузитесь в нее примерно на 20 минут. Это уменьшит зуд, а также предотвратит его распространение.
3. Холодный компресс
Холодный компресс помогает при многих кожных заболеваниях, особенно снимает зуд и отечность. Положите немного льда в пакет и оберните тканью, а затем приложите к пораженной коже спины, шеи и/или плеч и оставьте примерно на 10 минут. Кроме того, вы можете купаться в прохладной воде, но не слишком долго.
4. Масло чайного дерева
Масло чайного дерева обладает противогрибковым свойством, что помогает бороться с грибковыми инфекциями. Лучше использовать вместе с оливковым маслом. Смешайте равное количество масла чайного дерева и оливкового, обмакните ватный тампон и нанесите его на пораженную кожу.
Существует огромное количество других продуктов, которые можно использовать как и вышеупомянутые. Они включают:
- чеснок;
- кокосовое масло;
- лимонный сок;
- яичный белок;
- кукурузный крахмал;
- яблочный уксус;
- каламиновый лосьон.
Когда обращаться у врачу?
Сыпь на теле чаще всего сопровождается легкими симптомами, с которыми можно легко справиться, используя домашние средства и безрецептурные препараты из аптеки. Но в некоторых случаях она может быть признаком серьезного заболевания организма. Чтобы быть в безопасности, лечите любой симптом сыпи сразу, как только он начинает появляться.
Опять же, когда сыпь на спине возникает наряду с серьезными симптомами, такими как лихорадка, головная боль, тошнота и рвота, проблемы с дыханием и другие более серьезные осложнения, немедленно обратитесь к терапевту!

